Der Bandscheibenvorfall beim Hund 

von Dr. Nikola Medl, Anicura Babenhausen

Bandscheibenvorfälle beim Hund kommen nicht selten vor und es sind vor allem chondrodystrophe Rassen (Dackel, Französische Bulldogge, Jack Russell Terrier, Chihuahua, Pekinese, uvm.) betroffen, es kann aber absolut jede Rasse in so gut wie jedem Alter treffen. Die Anzeichen können von einer reinen Schmerzsymptomatik bis hin zu einer plötzlichen und vollständigen Lähmung des Patienten reichen, die dann ein schnelles Handeln erfordert. Als Fallbeispiel dient die Französische Bulldogge Frieda von Monika Heine.

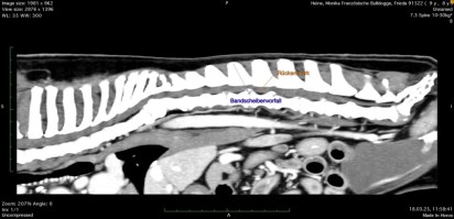
Auszug aus dem Artikel: Frieda wurde uns Mitte März mit Schmerzsymptomatik und einer gehfähigen Paraparese, also mit milden Ausfallserscheinungen der Hintergliedmaßen, vorgestellt. Die Symptome dieser Episode bestanden seit einigen Tagen akut. Die Computertomografie ergab Bandscheibenvorfälle mehrerer Bandscheiben, sowohl in der Hals- als auch in Brust- und Lendenwirbelsäule, so dass zur weiteren Abklärung, bei welchem Vorfall es sich um das akute Problem handelt, noch ein MRT angefertigt werden musste. Frieda hatte Glück – der auslösende Bandscheibenvorfall lag zwischen dem 1. und dem 2. Lendenwirbel und somit noch nicht im beschriebenen problematischeren Bereich. Frieda konnte erfolgreich operiert werden und das Rückenmark an dieser Stelle mittels Minihemilaminektomie und Fenestration entlastet werden. Bereits beim Fäden ziehen 10 Tage nach der Operation hatten sich die Symptome gebessert, diese Verbesserung hat sich bis zur Kontrolle 6 Wochen nach der Operation fortgesetzt. 

Autorin: Dr. Nikola Medl

Diplomate ECVS, Europäischer Spezialist für Chirurgie, Fachtierärztin für Kleintierchirurgie, Zusatzbezeichnung Neurologie beim Klein- und Heimtier | www.anicura.de/babenhausen

 

Den ganzen Artikel von Dr. Nikola Medl kann man unter https://www.dogodu.eu/der-bandscheibenvorfall-beim-hund/ nachlesen oder in dem von mir beigefügten Pdf-Dokument. 

 

 

Artikel von Dr. Nikola Medl und Artikel von Moni und Alexandra Klein
Hier könnt ihr als Pdf-Datei den gesamten Artikel von Dr. Nikola Medl und den Artikel von Moni und Alexandra Klein aus dem Dogodu-Magazin Ausgabe September/Oktober 2025 lesen
Dogodu - Bandscheibenvorfall Frieda.pdf
PDF-Dokument [6.5 MB]

Nach der Bandscheiben-OP

Aus der Sicht der Hundehalterin und der Pysiotherapeutin

Unsere Französische Bulldogge Frieda wurde im März 2025 in der AniCura Kleintierklinik Babenhausen untersucht, weil sie plötzlich Schwierigkeiten beim Laufen zeigte. Sie rutschte auf glatten Böden aus, zögerte beim Spazierengehen und kam nur schwer aus dem Sitzen hoch. Diese Symptome waren Anzeichen für Probleme an der Wirbelsäule. Zur genauen Diagnose wurde zunächst ein CT (Computertomografie) und anschließend ein MRT (Magnetresonanztomografie) durchgeführt. Dabei zeigte sich, dass Frieda unter mehreren Bandscheibenvorfällen an unterschiedlichen Stellen litt. Diese Bandscheiben waren teilweise stark verknöchert und wölbten sich in den Wirbelkanal vor, was Druck auf das Rückenmark ausübte. Zusätzlich wurden Verformungen an einigen Brustwirbeln und eine ausgeprägte Wirbelsäulenverkrümmung festgestellt.

Am 24. März 2025 wurde Frieda an den betroffenen Stellen von Frau Dr. Susanne Medl operiert. Die Operation verlief gut und Frieda konnte nach der Operation sofort wieder stehen und gehen, auch wenn sie noch etwas wackelig war. Der weitere Behandlungsplan umfasste konsequente Schonung sowie Schmerzmittel und entzündungshemmende Medikamente. Schon bei der Entlassung wurde empfohlen, eine Physiotherapie zu beginnen. Und so starteten wir direkt nach der OP bei unserer Hundephysiotherapeutin Alex, bei der Frieda schon in Behandlung war.

Interview mit Hundephysiotherapeutin Alexandra Klein, die Frieda nach ihrer Bandscheibenoperation begleitete

Alexandra Klein (Alex) ist geprüfte Hundephysiotherapeutin und Osteopathin mit eigener Praxis. Ihre Leidenschaft für die Hundephysiotherapie entwickelte sich durch die Erfahrungen mit ihrem ersten Hund Chester, der an einem Bandscheibenvorfall litt. Seitdem setzt sie sich dafür ein, Hunden durch eine individuelle Kombination aus Physiotherapie und Osteopathie zu helfen, fit zu bleiben und funktionelle Behandlungen in den Vordergrund zu stellen.
 

Redaktion: Alex, Du hast Frieda nach ihrer Bandscheiben-OP physiotherapeutisch betreut. Wie ging es ihr aus Deiner Sicht gesehen nach dem Eingriff?
 

Hundephysiotherapeutin Alex: Frieda kam wenige Tage nach ihrer Operation zu mir. Ihr Gang war noch sehr wackelig, besonders in der Hinterhand. Sie war unsicher, setzte sich häufig schief hin und hatte Mühe, auf glatten Böden die Balance zu halten. Bei Frieda kam der Bandscheiben-Vorfall schleichen und so braucht das Nervensystem bei ihr nach der Bandscheiben-OP auch etwas mehr Zeit, um sich zu regenerieren.
 

Redaktion: Beschreibe mal, wie Du bei der Behandlung vorgegangen bist?
 

Hundephysiotherapeutin Alex: Wir haben sehr sanft begonnen. Zuerst stand die Schmerztherapie im Vordergrund – das heißt gezielte Massage, um verspannte und überlastete Muskeln zu lockern, und Lasertherapie, um die Durchblutung und den Stoffwechsel in der betroffenen Region anzuregen. Danach haben wir mit propriozeptivem Training begonnen – also Übungen, bei denen Frieda ihr Körpergefühl wiederfinden konnte. Ganz einfache Dinge: Balancieren auf weichen Unterlagen, gezielte Gewichtsverlagerung, kontrolliertes Stehen.
 

Redaktion: Viele denken bei Physiotherapie an das Unterwasserlaufband. Kam das bei Frieda auch zum Einsatz?
 

Hundephysiotherapeutin Alex:Tatsächlich nicht – bei Frieda haben wir ganz bewusst auf ein normales Laufband gesetzt. Der Grund war, dass wir gezielt an ihrem Gangbild arbeiten wollten. Auf dem normalen Laufband können wir die Bewegung der einzelnen Gliedmaßen sehr genau beobachten – viel besser als draußen beim Spazierengehen, wo der Hund durch Umgebungsreize schnell abgelenkt wird.
 

Redaktion: Was genau bringt das Training auf einem normalen Laufband?
 

Hundephysiotherapeutin Alex: Es hilft dabei, Bewegungsabläufe kontrolliert und gleichmäßig zu üben. Gerade nach einer neurologischen Erkrankung wie einem Bandscheibenvorfall ist das wichtig, weil viele Hunde »unrund« laufen, Beinbewegungen überspringen oder eine Seite weniger belasten. Auf dem Laufband können wir Tempo, Dauer und Oberflächenbeschaffenheit exakt steuern. Frieda hat sich dabei zunehmend besser konzentriert – sie lief bewusster, koordinierter und mit der Zeit auch kraftvoller. Das Laufband bietet außerdem einen klar strukturierten Rahmen: keine anderen Hunde, keine Gerüche, keine spannenden Strecken – nur sie, ihr Körper und die Bewegung. Für viele Hunde ist das ein großer Vorteil, weil sie dadurch lernen, sich wieder auf ihren eigenen Gang zu fokussieren.
 

Redaktion: Klingt sehr gezielt.
 

Hundephysiotherapeutin Alex: Absolut. Und weil wir direkt hinter dem Hund stehen, können wir kontrolliert und korrigierend eingreifen – zum Beispiel die Haltung verbessern, kleine Positionskorrekturen vornehmen oder einfach motivieren. Frieda hat das großartig gemacht. Und es war schön zu sehen, wie sie nach jeder Einheit selbstbewusster vom Laufband stieg.
 

Redaktion: Wie hat sich Frieda über die Wochen entwickelt?
 

Hundephysiotherapeutin Alex: Sehr gut. Ihre Hinterläufe wurden zunehmend kräftiger, ihr Gangbild sicherer. Sie wurde wieder neugieriger, bewegte sich freier – und man hat gemerkt, wie ihr Selbstvertrauen zurückkam. Parallel dazu habe ich der Besitzerin gezeigt, welche Übungen sie zu Hause mit Frieda machen kann: langsames Aufstehen lassen, kleine Balanceübungen, kontrollierte Bewegung im Garten. Wichtig war dabei immer: Keine Sprünge, keine Treppen und ausreichend Ruhepausen.
 

Redaktion: Was ist Ihre wichtigste Botschaft an Hundebesitzer nach einer Bandscheiben-OP?
 

Hundephysiotherapeutin Alex: Geduld! Die Nerven brauchen Zeit zur Regeneration – da gibt es keine Wunder über Nacht. Aber mit der richtigen physiotherapeutischen Unterstützung, einem guten Schmerzmanagement und aktiver Mithilfe der Besitzer kann sehr viel erreicht werden. Frieda ist ein tolles Beispiel dafür.
 

Nach einer Bandscheibenoperation beginnt für den Hund die eigentliche Phase der Heilung. Zwar kann eine Operation Druck vom Rückenmark nehmen und weitere Schäden verhindern, doch die Regeneration des Nervengewebes und der Muskulatur liegt ganz in der Hand des Körpers – unterstützt durch gezielte Physiotherapie.

Warum Physiotherapie so wichtig ist

Ein Bandscheibenvorfall belastet nicht nur die Wirbelsäule, sondern auch die dadurch betroffenen Nerven und die dazugehörigen Muskeln des Hundes. Außerdem kann es auch zur Überbelastung der Vorderhand kommen, wodurch es zu weiteren Problemen kommen kann, die man nicht haben möchte. Die durch den Vorfall gequetschten Nerven können Schmerzen, Koordinationsstörungen, Lähmungen oder Inkontinenz verursachen. Gleichzeitig verspannen sich die Muskeln im betroffenen Bereich, weil sie versuchen, die instabile Wirbelsäule zu stützen. Diese Muskelanspannung wiederum verschlimmert die Beschwerden durch Bewegungseinschränkung und zusätzlichen Schmerz. Physiotherapie setzt genau an dieser Stelle an: Ziel ist es, Schmerzen zu lindern, verspannte Muskulatur zu lockern, gelähmte oder schwache Muskeln wieder aufzubauen und die Nervenfunktion wieder zu aktivieren. Je früher damit begonnen wird, desto größer sind die Chancen, dass sich der Hund vollständig erholt.

Was eine physiotherapeutische Behandlung beinhaltet

Die Therapie nach einer Bandscheiben-OP wird individuell auf den Hund abgestimmt, denn jeder Vorfall ist unterschiedlich – so wie jeder Hund anders auf Schmerz und Bewegung reagiert. Folgende Maßnahmen sind besonders wichtig:

  • Schonende Mobilisation: Manuelle Therapie und gezielte Bewegungsübungen fördern die Durchblutung, regen den Stoffwechsel an und helfen dem Hund, sein Körpergefühl
    zurückzugewinnen.
  • Gerätetherapie: Laser, Strom und Magnetfeldtherapie unterstützen die Heilung des Gewebes, wirken schmerzlindernd und fördern die Nervenregeneration.
  • Unterwasserlaufband: Besonders effektiv ist das Training im Wasser. Der Auftrieb entlastet die Wirbelsäule und die Gelenke, während der Bewegungsapparat trotzdem aktiv trainiert wird – ideal zum Muskelaufbau.
  • Normales Laufbandtraining: Wenn kein Unterwasserlaufband zur Verfügung steht oder es individuell nicht geeignet ist, kann auch das Training auf einem normalen Laufband hilfreich sein. Es stärkt die Kondition, was eine Kombination aus Kraft, Ausdauer, Schnelligkeit, Beweglichkeit und Koordination ist und erfordert eine sorgfältige Anpassung an den Zustand und das Leistungsvermögen des Hundes.
  • Gangbildkorrektur: Durch gezielte Übungen wird ein physiologisches Bewegungsmuster eingeübt und gestörte Abläufe werden schrittweise normalisiert.
  • Haltungs- und Belastungsschulung für den Alltag: Auch Zuhause kann der Hundehalter viel tun – unter Anleitung eines Therapeuten können einfache Übungen täglich integriert werden.

Was der Hundehalter selbst beitragen kann

Die aktive Mitwirkung des Hundehalters ist ein entscheidender Faktor für den Therapieerfolg. Direkt nach der Operation sind Schonung und kontrollierte Bewegung oberstes Gebot:

  • Leinenzwang für mindestens 6 Wochen, kein Treppensteigen, Springen oder Spielen
  • Rutschfeste Unterlagen in der Wohnung, um Ausrutschen zu vermeiden
  • Angepasste Ernährung und ausreichend Flüssigkeit zur Unterstützung des Gewebestoffwechsels
  • Regelmäßige, kurze Spaziergänge, die mit der Zeit gesteigert werden

Später kommen einfache Übungen dazu – unter Anleitung des Physiotherapeuten kann der Halter diese zu Hause durchführen, um die Beweglichkeit und Koordination seines Hundes zu fördern. Fazit: Die Physiotherapie ist nach einer Bandscheibenoperation ein wichtiger Baustein der Nachsorge – und oft der Schlüssel dafür, dass ein Hund wieder schmerzfrei laufen, springen und leben kann. In enger Zusammenarbeit zwischen Tierarzt, Physiotherapeut und Hundehalter lassen sich die besten Voraussetzungen für eine erfolgreiche Genesung schaffen. 

Autorin: Moni Heine

Interviewpartnerin: Alexandra Klein

 

Alexandra Klein, geprüfte Sport-Physiotherapeutin und angehende Ostheopatin mit eigener Praxis in 891171 Illerkirchberg
Homepage: https://www.dogphysio305.de/

Termine Bullytreffen:

Ulmer Bullytreffen

Sonntag,21.12.2025, 15:00 Uhr
(anschl. Einkehr Jakobsruhe)

Neujahrs-Gassi-Runde

Donnerstag 01.01.2026, 15 Uhr
(anschl. Einkehr)

Ulmer Bullytreffen

Sonntag,25.01.2026, 15:00 Uhr
(anschl. Einkehr)

Ulmer Bullytreffen

Sonntag, 22.02.2026, 15:00 Uhr
(anschl. Einkehr)

Messe "Mein Hund"

im März 2026
in Ravensburg

Ulmer Bullytreffen

Sonntag, 29.03.2026, 15:00 Uhr
(anschl. Einkehr)

Ulmer Bullytreffen

Sonntag, 26.04.2026, 15:00 Uhr
(anschl. Einkehr)

Stadtführung Ulm mit Bullys

Sonntag, 03.05.2026, 11 Uhr
(Stadt-Walk mit Moni und zwischendurch Einkehr)

Ulmer Bullytreffen

Sonntag, 31.05.2026, 15:00 Uhr
(anschl. Einkehr)

Wandern, Kneippen, Minigolf & Genuss

Samstag, 20.06.2026, 16 Uhr

Ulmer Bullytreffen

Sonntag, 28.06.2026, 15:00 Uhr
(anschl. Einkehr)

Ulmer Bullyweekend 2026

(findet nicht statt)

Juli 2026

SOMMERPAUSE - kein
reguläres Ulmer Bullytreffen

Bully-Camping-Weekend

2. bis 5. Juli 2026
Camping Götzenbachsee

(Anmeldung möglich)
 

Sommer-Walk am Binsenweiher

Sonntag, 26.07.2026, 11 Uhr
(evt. Einkehr oder gem. zusammenstehen mit spätenm Frühstück und Getränken)

August 2026

SOMMERPAUSE - kein reguläres Ulmer Bullytreffen

Gassi-Walk am Krummbach

Sonntag, 16.08.2026, 11 Uhr
(anschl. Einkehr )

(Einkehr nur mit Anmeldung)

Ulmer Bullytreffen

Sonntag, 27.09.2026, 15:00 Uhr
(anschl. Einkehr)

Ulmer Bullytreffen

Sonntag, 25.10.2026, 15:00 Uhr
(anschl. Einkehr)

Lasst die Bullys leuchten

Samstag, 14.11.2026, 17 Uhr
(anschl. Einkehr im Hirsch)

Ulmer Bullytreffen

Sonntag, 29.11.2026, 15:00 Uhr
(anschl. Einkehr)

Weihnachtsfeier

Sa. 5. Dezember 2026
Gasthaus Hosenmann
(NUR MIT ANMELDUNG)
 

Ulmer Bullytreffen

Sonntag, 20.12.2026, 15:00 Uhr
(anschl. Einkehr)

Ulmer Bullyweekend 2027

Infos folgen in Kürze

Bully-Camping-Weekend

1. bis 4. Juli 2027
Camping Götzenbachsee

(Save the Date)
 

Druckversion | Sitemap
© Monika Heine

Diese Homepage wurde mit IONOS MyWebsite erstellt.